KIDS HIPS

BoneFinder® is now also applied to fully automatically outline and segment the hip joint in radiographs of children's hips.

What are the aims of this research?

The goal is to develop a software system capable of helping clinicians interpret hip radiographs of children, focusing on the four most common diseases (Legg-Calve-Perthes disease, developmental dysplasia of the hip, slipped capital femoral epiphysis, and hip migration in cerebral palsy). These account for over 95% of cases of paediatric hip pathology. The system will aid the early detection of disease, and perform routine measurements usually conducted by surgeons to monitor the progression of disease.


Why is this research important?

The hip is the most common joint to be affected by disease in children, with radiographs taken to diagnose, monitor, and dictate treatment options. Hip deformities are painful disorders that affect 1 in 500 children. Children with hip deformities are more likely to develop osteoarthritis and often need hip replacement surgeries as young adults. In some cases, this hip replacement surgery could be avoided by treatment in childhood.


How will the findings benefit patients?

This work will help researchers to get a better understanding of childhood diseases affecting the hip. It aims to create better ways to accurately measure the hip and the severity of diseases affecting the hip joint in children. These measurements can be used to help predict future outcomes and allow doctors to select the best treatment for each child, reducing long-term pain and disability while also ensuring that similar standards are applied across different hospitals.

Perthes disease

Hi dysplasia

Slipped epiphysis

Cerebral palsy hip migration

More details about our system to automate hip migration assessment in children with cerebral palsy are provided here.

<

RESULTS

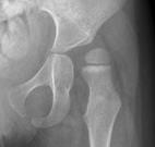
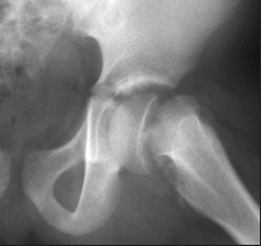
We have developed a software system to automatically calculate Reimer's migration percentage (RMP) and acetabular index (AcI) from children’s hip radiographs. We trained and tested a BoneFinder® module to automatically outline key structures of the proximal femur and pelvis using 102 points based on 450 images. The automatically identified point positions were used to calculate RMP and AcI. The performance of the automatic system was assessed by comparison with measurements taken manually by 5-9 clinicians on two datasets. The initial dataset included 50 hips and the independent replication dataset included 400 hips.

   

Segmentation example showing the outline of the proximal femur of a 2-year-old and an 18-year-old as well as the outline of the pelvis. Our BoneFinder® module achieved an average point-to-curve-error of 1mm and a point-to-curve-error of less than 2mm for 95% of all 450 images.

The performance of the automatic system showed good agreement with the average manual measurements with inter-correlation coefficients (ICCs) between 0.78 and 0.92. Our results show that the fully automatically obtained AcI and RMP measurements are in agreement with manual measurements obtained by clinical experts.


Data shown on this page is copyright (c) 2022 Springer Nature Switzerland AG (DOI: 978-3-031-16437-8_40).

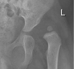
We performed fully automatic shape and appearance analyses to classify the proximal femur in hip radiographs of children into Legg-Calvé-Perthes (Perthes) disease and healthy. We trained and tested a BoneFinder® module to automatically outline the proximal femur using 58 points based on 1179 images. The BoneFinder® module was then applied to 601 unseen images (284 healthy and 317 Perthes). The automatically identified point positions were used to build statistical shape and appearance models and to evaluate their classification performance. Point placement performance is reported as mean point-to-curve error (where "mean" refers to averaging the errors over all points per image). Classification performance is reported as the area under the receiver operating characteristic curve (AUC).

Segmentation example showing the outline of a children's proximal femur. Our BoneFinder® module achieved a point-to-curve-error of less than 4% of the femoral shaft width for 95% of all 1179 images.

The fully automatic Perthes classification system was able to distinguish between Perthes and healthy childrens' hips with an AUC of 0.98 (SD:±0.01).


Data shown on this page is copyright (c) 2019 Springer Nature Switzerland AG (DOI: 10.1007/978-3-030-11166-3_8).

-->

PUBLICATIONS

  • Open Access
    (accepted author version)
    Automating radiological measurements of the hip in children with cerebral palsy
    P. Thompson, M. Khattak, P.J. Joseph, D.C. Perry, Medical Annotation Collaborative, T.F. Cootes, and C. Lindner. Bone & Joint Journal, 107-B(1):124-132, 2025. DOI: 10.1302/0301-620X.107B1.BJJ-2024-0894
  • Using AI to automatically assess hip health in radiographs of children with cerebral palsy
    P. Thompson, M. Khattak, P.J. Joseph, Medical Annotation Collaborative, D.C. Perry, T.F. Cootes and C. Lindner. Chartered Society of Physiotherapy Annual Conference (CSP 2024), UK.
  • A survey on the potential benefits and challenges of automating measurements on hip radiographs in children with cerebral palsy
    P. Thompson, D.C. Perry, T.F. Cootes and C. Lindner. Chartered Society of Physiotherapy Annual Conference (CSP 2024), UK.
  • Comparing Fully Automated Measurement of Reimer’s Migration Percentage to Manual and Partially Automated methods from Pelvic Radiographs of Children with Cerebral Palsy
    K. Hughes, Jonathan Lang, C. Lindner, T. Cootes, D. Perry and M. Gaston. British Society for Children’s Orthopaedic Surgery Annual Meeting, 2024.
  • Using AI to enhance efficiency and equality of hip surveillance in children with cerebral palsy
    C. Lindner. Health Data Research UK Conference 2024: The Grand Challenges in Health Data.
  • Integrating Artificial Intelligence into national Cerebral Palsy hip surveillance – a pilot study
    K. Hughes, C. Lindner, T. Cootes, D. Perry, H. Simpson and M. Gaston. AI in Orthopaedics Conference, Orthopaedic Research UK, 2023.
  • Automatically Measuring Paediatric Hip Radiographs in Cases of Cerebral Palsy
    P. Thompson, M. Khattak, D. C. Perry, Medical Annotation Collaborative, T. F. Cootes and C. Lindner. British Society for Children’s Orthopaedic Surgery Annual Meeting, 2023.
  • A software system to automatically assess hip migration in children with Cerebral Palsy
    P. Thompson, Medical Annotation Collaborative, D.C. Perry, T.F. Cootes and C.Lindner. AI in Orthopaedics Conference, Orthopaedic Research UK, 2022.
  • Open Access
    (accepted author version)
    Automation of clinical measurements on radiographs of children's hips
    P. Thompson, Medical Student Annotation Collaborative, D.C. Perry, T.F. Cootes and C. Lindner. Proceedings of the 25th International Conference on Medical Image Computing and Computer Assisted Intervention (MICCAI 2022), Singapore. Springer, Lecture Notes in Computer Science 13433, pages 419-428, 2022. DOI: 978-3-031-16437-8_40
  • Open Access
    (abstract)
    Detecting Perthes Disease and Investigating the Effects of Aging on Hip Shape in Children
    A.K. Davison, T.F. Cootes, D.C. Perry, W. Luo, Medical Student Annotation Collaborative and C. Lindner. Bone Research Society Annual Meeting 2020. Journal of Bone & Mineral Research Plus, Vol. 5, Art. Nr. e10499, page 63, 2021. DOI: 10.1002/jbm4.10499 (Best Clinical Poster Prize) [Virtual Poster]
  • Open Access
    (accepted author version)
    Landmark Localisation in Radiographs Using Weighted Heatmap Displacement Voting
    A.K. Davison, C. Lindner, D.C. Perry, W. Luo, Medical Student Annotation Collaborative and T.F. Cootes. Proceedings of the 6th MICCAI Workshop on Computational Methods and Clinical Applications in Musculoskeletal Imaging (MSKI 2018), Granada, Spain. Springer-Verlag Lecture Notes in Computer Science 11404, pages 73-85, 2018. DOI: 10.1007/978-3-030-11166-3_7
  • Open Access
    (accepted author version)
    Perthes Disease Classification Using Shape and Appearance Modelling
    A.K. Davison, T.F. Cootes, D.C. Perry, W. Luo, Medical Student Annotation Collaborative and C. Lindner. Proceedings of the 6th MICCAI Workshop on Computational Methods and Clinical Applications in Musculoskeletal Imaging (MSKI 2018), Granada, Spain. Springer-Verlag Lecture Notes in Computer Science 11404, pages 86-98, 2018. DOI: 10.1007/978-3-030-11166-3_8

CONTACT

If you are interested in BoneFinder® and its capabilities please do not hesitate to get in touch by emailing claudia.lindner@manchester.ac.uk
www.manchester.ac.uk/research/claudia.lindner